搜索
健康教育位置:健康教育>家长课堂

娃还不到1岁,喉咙一直呼噜呼噜、吃奶呛咳、反复肺炎,竟是……

发布时间:2024.07.05 | 浏览:5669 次 | 魏想 | 字体: 

近日,连云港市妇幼保健院儿科门诊接诊了一个特殊的小患儿。

宝宝从出生后,喉咙中一直呼噜呼噜的。看医生,说是孩子先天性喉软化,长大就好了。

宝宝一直需要使用鼻导管吸氧以维持正常的血氧浓度,吃奶的时候呛咳明显。

几乎每个月都会患支气管肺炎,家里一直以为是早产免疫力较弱导致的。

赵茜叶

孩子是重度喉软化,反复得肺炎是由于进食时呛咳或胃食管返流导致奶汁误吸的可能性大。

如果不予以纠正,长期可能造成肺动脉高压、漏斗胸及成年期肺心病等,建议使用重度喉软化钬激光成形术进行治疗。

经过充分沟通及家长知情同意后,儿科、麻醉科等进行会诊,并成功完成手术。术后,患儿嗓子里的呼噜声基本消失,而且在脱离氧气情况下,血氧饱和度维持在96%以上。 

什么是先天性喉软骨软化症?

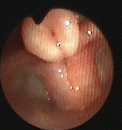
喉软骨软化症是因为喉部组织过度软弱、松弛,吸气时喉组织塌陷堵塞喉腔上口,因而发生喉鸣甚至呼吸困难 ,不能维持正常通气。一般于出生后数周内出现,大部分患儿仅表现为轻度-中度喉鸣,不伴喂奶时呛咳及呼吸费力难,但有少部分重症患儿易出现呼吸费力、进食时呛奶、胃食管反流病及反复发生乳汁吸入性肺炎,需要于预治疗。

 卷曲的会厌软骨遮挡声门 正常会厌软骨及声门
怎样确诊?

慢性间歇性发作的婴幼儿喉喘呜最常见的病因是喉软化,一般发生于生后数周出现,1岁左右自愈。但是如果婴幼儿出现慢性持续性加重性喉鸣,需要进行颈部、肺部增强CT及气道重建检查、心脏彩超、电子喉镜及支气管镜等检查辅助检查以明确是否存在咽喉部囊肿、血管瘤及声门下狭窄等疾病。

如何治疗?

轻中度喉软化一般不需要特殊干预治疗,但仍需注意喂奶时避免呛奶及误吸可能。

重度喉软化需要气管镜下重度喉软化钬激光成形术干预治疗。

哪些患儿需要手术治疗?

1. 平静时出现吸气费力伴喉鸣音,或哭闹时出现面色及唇色青紫;

2. 进食缓慢且困难;

3. 孩子身高和体重增长迟缓;

4. 出现睡眠时憋醒或睡眠不安等;   

5. 溢奶严重,或反复发生吸入性肺炎;

6. 活动或进食时出现低氧血症和高碳酸血症。

(妇幼健康科普)

连妇幼儿科

连云港市妇幼保健院儿科下设儿童呼吸科I(PICU)、儿童呼吸科II(儿童哮喘科)、普通儿科(儿童神经内科)三个二级科,共三个病区(住院部16-18楼),总床位150余张,科室依托妇幼特色优势,形成各系统疾病规范诊治体系。尤其擅长儿童呼吸、神经、急危重症疾病诊治,拥有儿童哮喘诊疗中心,开展纤维支气管镜诊疗术、支气管异物取出术、婴幼儿肺功能检查、支气管舒张及激发试验,一氧化氮检测、过敏原检测、呼吸睡眠监测、视频脑电图检查等,哮喘、癫痫等专科病诊疗水平在全省位居领先水平。

门诊位置:1B区

返回
顶部